Glen Lake Dental

Dental Crowns

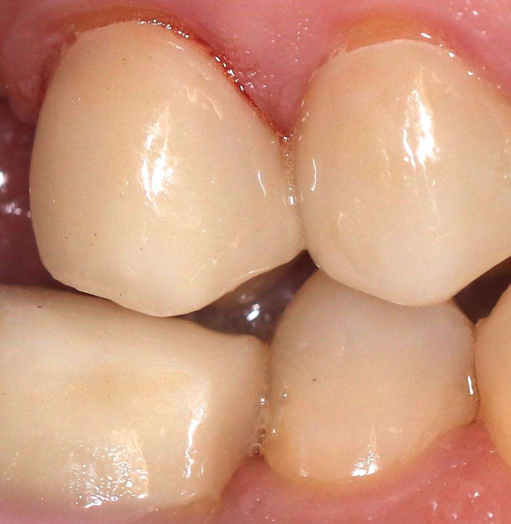
This patient came in to correct the gray on their teeth which was due to failing silver fillings and a fracture. Dr. Leonardi restored the teeth using dental crowns. 

Related Services:

Dental Crowns & Bridges
Getting an appointment is fast and easy!
If you have difficulty using our website, please email us or call us at (603) 668-5307
View the ADA Accessibility Statement
Privacy Policy