Invisalign® and PowerProx Six Month Braces® in Goffstown, NH
Have you considered straightening your teeth as an adult but feel put off by the thought of metal braces or years in treatment? If so, you will be happy to know that today, we have treatments to help you get the straight smile you want without metal braces.
At her Goffstown dental office, Dr. Danielle Leonardi offers Invisalign® clear aligners and PowerProx Six Month Braces® and results that make your smile look great and improve your oral health.
Straighter Teeth in Goffstown, NH without Metal Braces
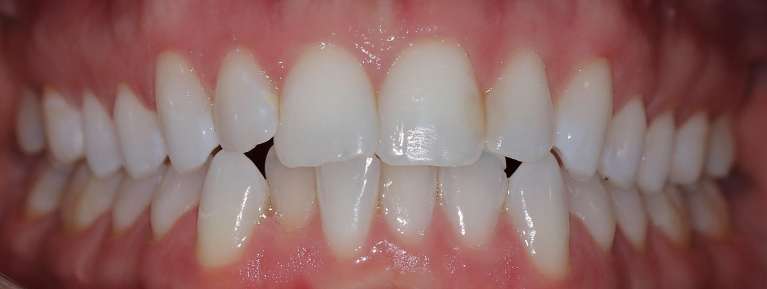
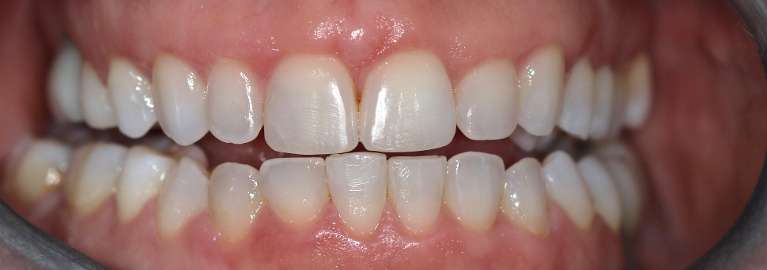
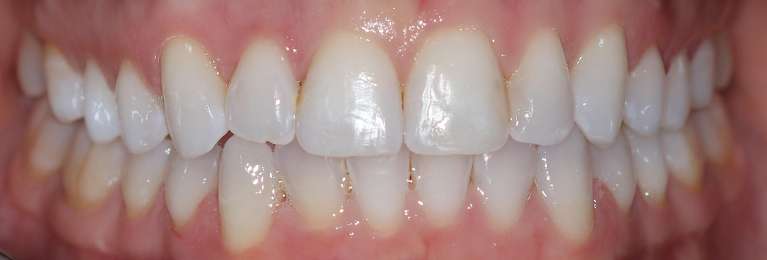
Invisalign and PowerProx can help you achieve a straighter, more symmetrical smile without the long-term commitment of traditional orthodontics. Invisalign uses crystal-clear plastic aligners to do the job, and PowerProx uses discreet brackets and wires on your teeth and offers treatment times of about six months.
How Straight Teeth Benefit Your Oral Health
Straighter teeth look better and can make you feel more confident when you interact with friends or business associates. But straightening your teeth with either Invisalign or PowerProx at our Goffstown dental office also offers several oral health benefits.
Crooked or crowded teeth detract from your appearance and your oral health. Teeth that are tightly spaced together or overlapped can be difficult to brush and floss, which puts you at risk for cavities and gum disease.
Bite problems or malocclusions like overbites, underbites, and crossbites don’t look attractive and can also lead to issues like teeth grinding, worn and broken teeth, and TMJ disorders that include jaw joint pain.
Invisalign Clear Braces in Goffstown, NH for Adults
Our Goffstown patients love Invisalign clear braces because treatment is convenient and delivers beautiful results. Instead of bracket and wires, Invisalign uses a series of customized clear aligners to gradually move your teeth into alignment.
Dr. Leonardi maps out a treatment plan for your individual needs, and an Invisalign lab prepares several sets of customized aligners. You will wear each pair of aligners for 22 hours a day for about two to three weeks, then repeat this step with the next pair. Treatment is finished when you’ve worn your aligners and achieved a beautiful, straight smile.
Invisalign’s clear aligners are virtually invisible on your teeth so they won’t detract from your smile. They are also removable, so you can enjoy all your favorite foods without restriction and brush and floss easily.
PowerProx Six Month Braces for Fast Results
PowerProx braces have been in use for over 20 years and are designed for adults who want to straighten just the teeth that show when they smile. Six-month braces use tooth-colored ceramic brackets and wires that are much less noticeable than the thick archwires used with traditional long-term orthodontics.
The PowerProx system uses high-tech archwires that have “shape memory.” No matter how the current crooked position of your teeth twists or bends it, the wire always returns to the ideal original shape set by Dr. Leonardi during treatment planning.
And since the goal of PowerProx is to make an aesthetic improvement, most patients see the results they want in about six months.
Call Glen Lake Dental to Schedule an Appointment
If you’ve been waiting your whole life for straighter teeth and a more beautiful, symmetrical smile, Dr. Leonardi would love to meet with you. Invisalign and PowerProx treatment at our Goffstown dental office have helped many of our patients love their smiles again and enjoy the benefits of straight, healthy teeth.
d out on braces as a child or had them, but your teeth have since relapsed, straightening your teeth as an adult is a good idea. Crooked or crowded teeth aren’t attractive and detract from your appearance, and they can also lead to other oral health problems.
aligner systems. Metal braces are the most common and effective for complex cases. Ceramic braces, meanwhile, are more discreet, blending in with natural teeth. Clear aligner systems like Invisalign® are also popular for adults due to their discreet appearance and convenience, with mouthpiece-like aligners that are easily removable for eating and brushing.