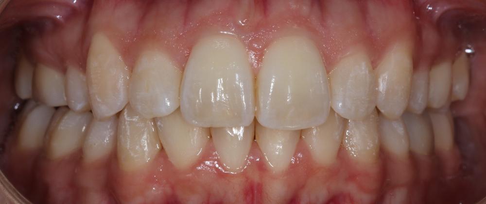
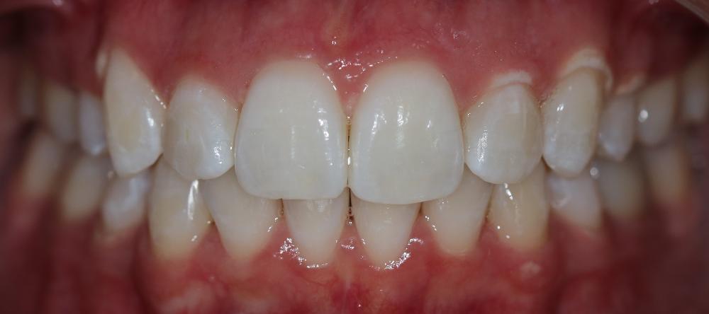
KöR® Teeth Whitening in Goffstown, NH

Cosmetic dentistry in Goffstown offers numerous ways to improve the appearance of your smile. Professional teeth whitening is by far the most popular treatment because it's easy, affordable, and delivers dramatic results quickly.
We all start out with bright smiles, but as we age, all the foods and drinks we consume and habits like smoking contribute to a dull smile. You may even start to notice this change as early as your 20s. When you're ready to reveal your best smile, turn to Dr. Danielle Leonardi for KöR® teeth whitening treatment at her Goffstown dental office.
What Is KöR Teeth Whitening?

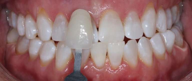
KöR teeth whitening is an advanced whitening system that deeply bleaches the tooth, working from the inside out. KöR provides reliable results for patients with extrinsic tooth stains, tetracycline discoloration, and everything in between. KöR’s high-potency teeth whitening gel is continuously refrigerated and gentle on sensitive teeth. With KöR whitening, patients typically only need one or two in-office treatments.
Dr. Leonardi provides KöR teeth whitening in-office and can prescribe at-home treatments for our patients' convenience. For example, KöR MAX is a versatile and practical whitening system that combines a single in-office session with at-home whitening.
How Does KöR Whitening Work?
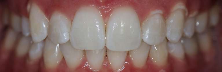
KöR restores your teeth’s youthful ability to absorb oxygen. When applied to the teeth, the whitening gel seeps deeply into the tooth, dissolves, and removes stain molecules. KöR is long-lasting (essentially permanent according to many) and can lighten your teeth 16 shades or more!
How Much Does KöR Teeth Whitening Cost?
KöR teeth whitening can cost $500–$1,200 on average. However, the price depends on the dental office's location, the patient's needs and goals, the specific KöR system used, and other factors. Please schedule a consultation with Dr. Leonardi for a more detailed treatment plan, including an estimation of cost. To make dentistry more affordable, our dental office offers the Kleer Dental House Membership and accepts CareCredit, LendingClub, LendingPoint, and various insurances.
Professional Teeth Whitening vs. Store-Bought Whitening
If you look in the mirror and see stained or yellow teeth, you might be tempted to pick up a teeth whitening kit on your next trip to the grocery store. However, before you invest any of your hard-earned money in one of these treatments, you should understand what you are getting.
Store-bought whitening kits are generic and less potent than professional teeth whitening like KöR. You will never see more brilliant results from store-bought whiteners than you will with professional treatment. There are three reasons for this:
1. Strength of the Whitening Gel
When sold over the counter, the teeth whitening gel must have a reduced potency that is safe for most consumers. KöR teeth whitening, however, is supervised by your cosmetic dentist, who can prescribe a much higher-strength product that delivers superior results. Plus, over-the-counter whitening doesn't deeply penetrate the teeth to remove internal and external stains like KöR teeth whitening.

2. The Whitening Trays' Fit and Coverage
A store-bought kit contains a generic "boil-and-bite" tray that fits over your teeth. When you choose teeth whitening at our Goffstown dental office, we take dental impressions to customize a whitening tray that perfectly fits all the contours of your smile. The result is full coverage of all surfaces for beautiful, consistent results.
3. Professional Supervision
When you pick up a teeth whitening kit at your grocery store, you are on your own. Choosing teeth whitening with our cosmetic dentist in Goffstown means you always have a qualified professional to turn to if you have a question or problem. Experiencing sensitivity? Not happy with the results you see? Call us, and we'll adjust your treatment to better fit your needs.
Should You Consider Teeth Whitening in Goffstown, NH?
There are very few people who can't benefit from professional teeth whitening. It will work if your teeth are stained from drinking coffee or red wine, and it will work if you have hard-to-remove brown stains from tobacco use.
If you opt for teeth whitening in Goffstown, ask your dental hygienist about maintaining the bright results for as long as possible. You want to avoid deeply-colored foods and drinks like coffee, red wine, and dark berries that deposit stains and dull your smile. Practice conscientious oral hygiene because not brushing and flossing leads to plaque and tartar buildup and yellow teeth.
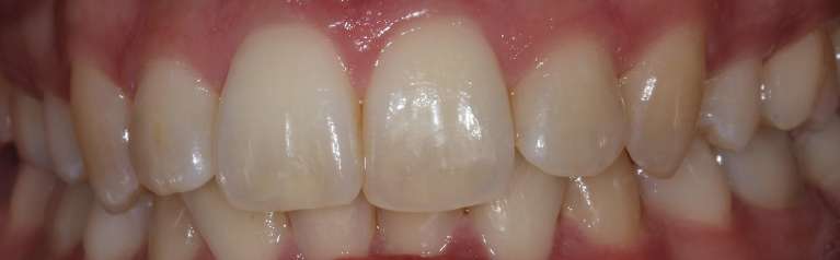
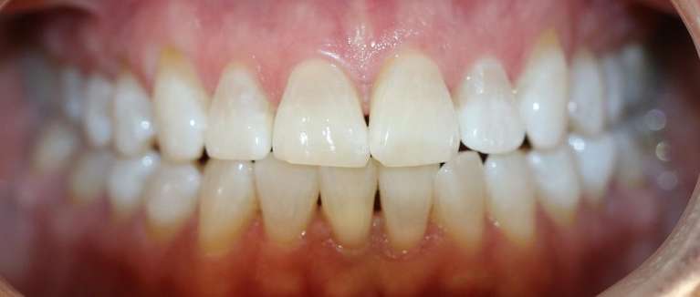
Unveil Your Smile's Brilliance with KöR Teeth Whitening
With professional teeth whitening, the first step is a thorough dental cleaning with one of our hygienists. She will remove all traces of plaque and tartar from your teeth, including the places your toothbrush doesn't reach. Clean teeth allow the whitening product to penetrate all surfaces evenly for the brightest, most consistent-looking results.
If you would like to schedule a teeth cleaning appointment to get started, please call our Goffstown dental office. You won't believe how great your smile will look!