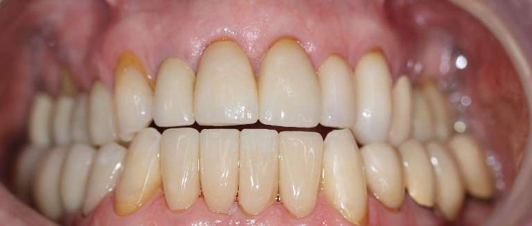
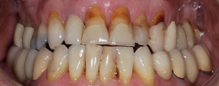
Smile Makeovers in Goffstown, NH
Do you worry about the first impression you’re making with your smile? Are you covering your mouth when you laugh? Have you considered cosmetic dentistry or even a full smile makeover in Goffstown, NH, but were unsure where to begin?
Dr. Danielle Leonardi can help!
What Is a Smile Makeover?
A smile makeover considers the health and appearance of your teeth and relies on treatments that give you a dazzling smile and improved oral health.
We start you with a consultation in our dental office where you and your cosmetic dentist discuss the various merits of individual options, including:
- Tooth-colored fillings and restorations
- Quality dental crowns
- Dental bonding
- Porcelain veneers
- Invisalign
- PowerProx six month braces
- Professional teeth whitening
- Tooth replacement
Together, you and your dentist create a custom treatment plan the gives you the results you’ve been looking for.
More on Our Cosmetic Dentistry Options
Your dentist may recommend any combination for the following to bring you to your smile goals.
Tooth-Colored Fillings and Restorations
Tooth-colored fillings treat cavities aesthetically. If you already have silver fillings, your dentist may recommend switching to the modern and visually appealing tooth-colored option.
Quality Dental Crowns
We offer custom dental crowns that support damaged teeth and conceal tooth imperfections, including slight gaps between teeth, tooth imperfections, worn or broken teeth.
Dental Bonding
Dental bonding incorporates the same shaded resin used in tooth-colored fillings. With bonding, your dentist can conceal tooth chips, discoloration, and shape abnormalities.
Porcelain Veneers
Veneers are one of the most versatile options, concealing slightly crooked and worn teeth, small gaps between teeth, tooth flaws, and even gummy smiles.
Invisalign
Invisalign is a sequence of clear custom aligners worn across a predetermined timeline. This orthodontic system can give you a straight smile while enhancing your oral health.
PowerProx Six Month Braces
This orthodontic system concentrates on your smile line, cutting treatment time dramatically. In as little as six months, you can correct the positioning of the teeth that show when you smile.
Professional Teeth Whitening
Professional teeth whitening lifts away tooth stains, helping to restore your teeth to their natural shade of white. This option works well on its own or as part of a full smile makeover.
Tooth Replacement
We offer various tooth replacement options, including dental implants in Goffstown, NH. Tooth replacement plays an essential role in smile aesthetics but also contributes to improved oral health.
How Much Does a Smile Makeover Cost?
Smile makeover costs always vary by the treatments necessary to enhance your smile. For example, you may require only a few inexpensive options to correct your aesthetic issues—or you may opt for several.
Additionally, individual cosmetic dentistry treatments come with various price points.
At Glen Lake Dental, we never pressure our patients. So while Dr. Leonardi explains how each treatment will contribute to your smile goals, the final decisions are always yours.
However, we can work with you on a timeline that fits your budget. We also work with Lending Club and CareCredit, two programs that allow you to finance your treatment over time. A member of our team can help you apply, and eligibility is typically determined within minutes.
Finally, don’t forget to ask a team member about our Glen Lake Dental Membership Plan for additional savings, inclusions, and exclusions.
Reach Out to Your Cosmetic Dentist in Goffstown, NH
When you come to us for a smile makeover, your goals are our goals. We want nothing more than to give you the smile of your dreams.
To arrange your consultation, give us a call today.
Frequently Asked Questions
A smile makeover is any treatment or series of procedures designed to enhance smile aesthetics. Cosmetic dentistry in Manchester, NH is all about you and your smile goals. And our dentist is here to help you reach them.
How Can Cosmetic Dentistry Enhance My Smile?
Cosmetic dentistry can transform your smile by concealing or correcting the following:
- Misaligned teeth
- Stained teeth
- Short or worn teeth
- Gummy smiles
- Tooth flaws
- Cracks and chips
We start you with a consultation to discuss the changes you’d like to make with our cosmetic dentist. Then, the dentist will let you know whether the treatments you’ve chosen will work for you and what to expect after your smile makeover.
Cosmetic Dentistry Options
Our cosmetic dentistry options include:
- Professional teeth whitening
- Dental veneers
- Tooth-colored restorations
- Tooth replacement
- Dental bonding
- Invisalign
- Six-month braces
Some cosmetic dental options can also improve your oral health. For example, tooth replacement promotes an even bite surface. Invisalign allows for more efficient brushing and flossing. An aligned bite is also easier on your teeth!
Are You Considering a Smile Makeover Near Me?
For more information or to arrange a consultation with our cosmetic dentist in Manchester, NH, give us a call today.
We are happy to work with Lending Club and CareCredit to help you achieve the smile of your dreams.
A smile makeover can address numerous issues, from enhancing smile aesthetics to restoring bite integrity and functionality. Smile makeovers employ tailored treatment plans consisting of multiple cosmetic and restorative procedures to address a patient’s unique dental needs.
Here are a few popular cosmetic dentistry treatments commonly used in smile makeovers:
- Stained or discolored teeth—Professional teeth whitening removes stains and discoloration. Dental veneers can also cover discolored, misshapen, or misaligned teeth.
- Chipped or worn-down teeth — Dental bonding can repair minor chips or cracks in teeth.
- Misaligned or crooked teeth — Orthodontic treatments, from traditional braces to clear aligners, ensure aesthetics and bite health through proper dental alignment.
- Uneven gums — Gum contouring reshapes the gumline, improves smile aesthetics, and facilitates proper oral hygiene practices.
Correcting misalignments, filling gaps, and restoring damaged teeth can prevent more serious problems like tooth decay, gum disease, and jaw pain. By fixing these issues, smile makeovers enhance visual appeal and improve oral health. In short, a smile makeover offers a comprehensive solution, giving you a more beautiful and healthier smile!
Restoring Radiance with a Smile Makeover in Goffstown, NH
If you’re looking for a cosmetic dentist in Goffstown, NH, with experience and expertise in all the aspects of cosmetic dentistry that make up a spectacular smile makeover, contact Dr. Danielle Leonardi and the excellent Glen Lake Dental team to schedule a consultation!
Meet Our Doctor:
Danielle Leonardi DMD
Danielle Leonardi, DMD, was born and raised near Cleveland, Ohio. She received her bachelor of arts degree from Miami University in Oxford, Ohio, and went on to Tufts University School of Dental Medicine in Boston, where she received her DMD. After completing her education, Dr. Leonardi acquired Glen Lake Dental in New Hampshire. She is currently a member of the Academy of General Dentistry and an active participant in the Frank Spears Program and Study Club and the American Society of Implant & Reconstructive Dentistry.
With a ...
Featured Blog Posts - Smile Makeover
Your Smile Makeover Starts Here: Dental Implants, Crowns, Whitening, and More in Goffstown
Whether you're dealing with massive tooth loss, looking to realign your bite, or just want a more radiant and confident smile, Dr. Danielle Leonardi, DMD, and the excellent Glen Lake Dental team are here to help through cosmetic dentistry in Goffstown, NH.
We’re committed to helping all our patients, regardless of ...
The Ultimate Guide to Smile Makeovers: Part 2
Welcome back to the second part of our comprehensive guide on smile makeovers. Glen Lake Dental in Goffstown, NH, is committed to helping you achieve the radiant smile you've always desired. Studies show dental aesthetics can have a profound effect on one's quality of life and confidence. We are here ...
The Ultimate Guide to Smile Makeovers: Part 1
If you are looking for a dentist in Goffstown, NH, who can help you improve the aesthetics of your smile, look no further than Dr. Danielle Leonardi and the expert dental team at Glen Lake Dental. We love to help our patients achieve their smile goals; one way we ...