Glen Lake Dental

Teeth Whitening Treatment

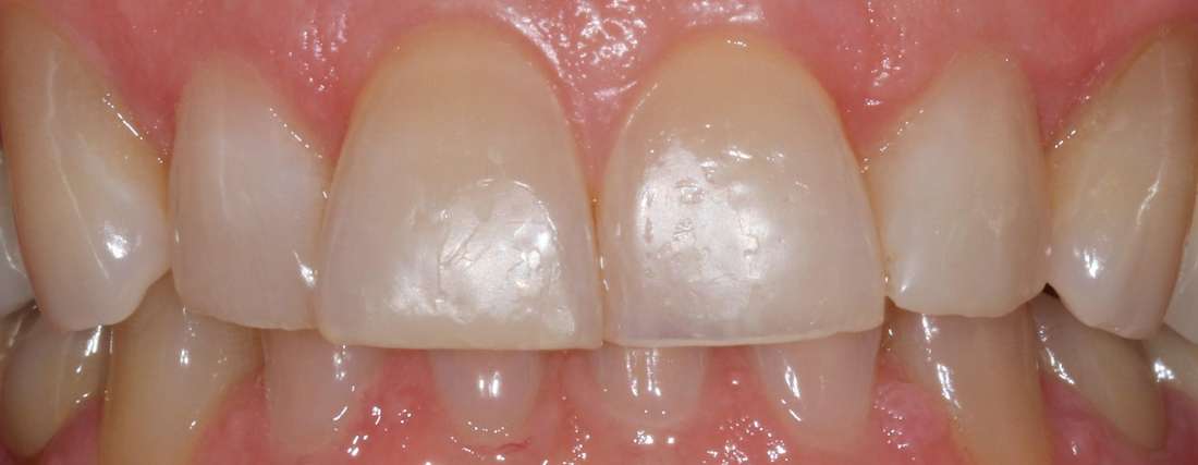
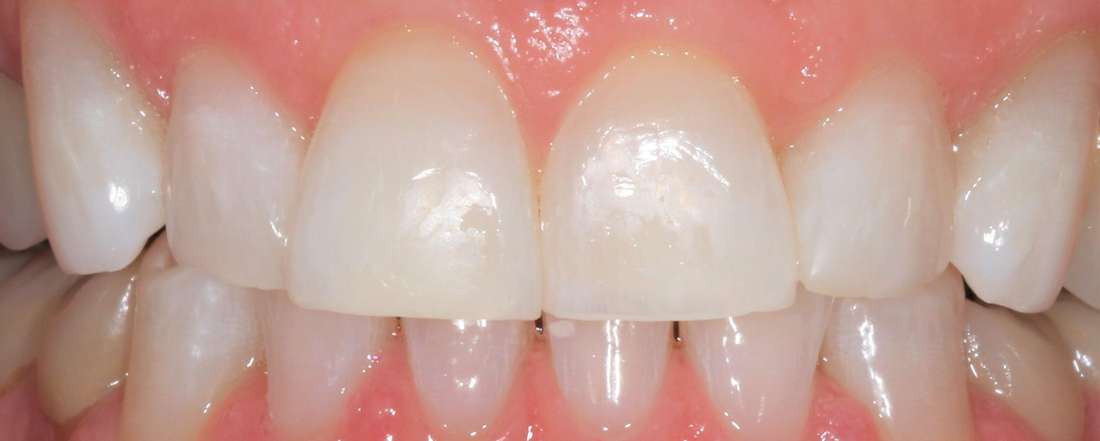
Professional teeth whitening with Glen Lake Dental brought this dull, discolored smile back to life! The patient is now enjoying a brighter, more beautiful smile.

Interested in Professional Teeth Whitening in Goffstown?

We offer several options for professional teeth whitening at Glen Lake Dental, including both in-office and take-home treatments. Whether you need immediate results or would prefer to whiten your teeth in the comfort of your home, our team has you covered. 

Contact us at (603) 668-5307 for more information about bleaching your teeth. 

Related Services:

KöR® Teeth Whitening
I highly recommend Glen Lake Dental

It is always a pleasant experience going to Glen Lake Dental.  Everyone is so kind, compassionate, and welcoming.  Dr. Leonardi is an excellent dentist who makes every effort to make me feel comfortable while addressing my concerns.  She works with a remarkable group of professional staff who provide the best dental care and services in the area.  The office environment has been updated with the latest technology to assist the staff in providing the highest quality of care.

More recently, I have been impressed by Glen Lake Dental’s use of best practices to follow the COVID-19 guidelines to ensure the safety and overall health of their patients and staff. I highly recommend Glen Lake Dental.

Maureen

Ready to book an appointment?
If you have difficulty using our website, please email us or call us at (603) 668-5307
View the ADA Accessibility Statement