Glen Lake Dental

Invisalign: A Solution For Straight Teeth

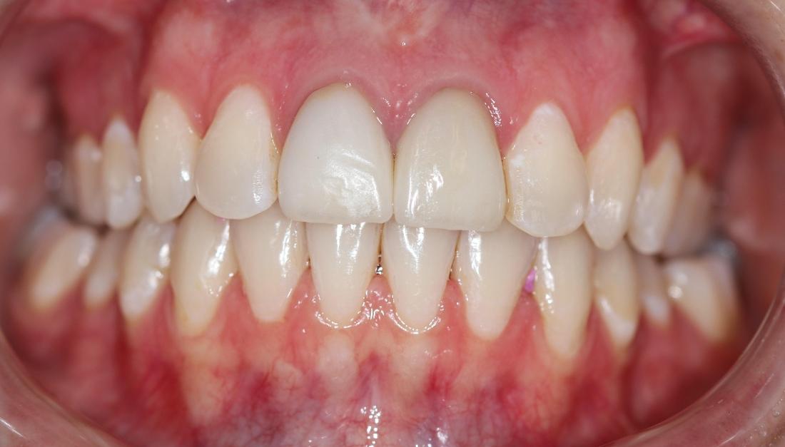
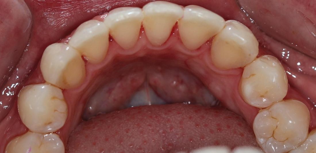
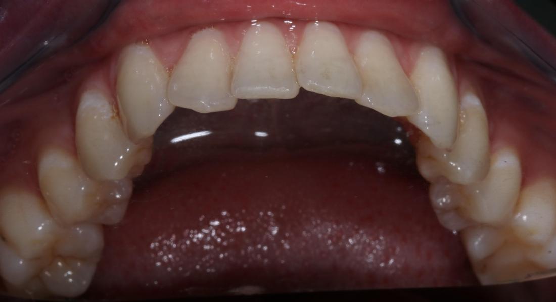
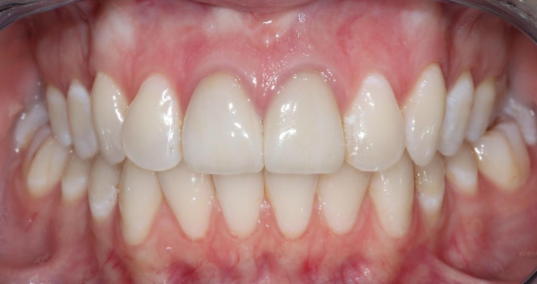
This dental patient arrived at our dental office in Goffstown requesting a straighter smile. We knew this patient would be a perfect candidate for Invisalign clear aligner treatment. After a short consultation, our expert dental team got to work on the Invisalign process and in a few short months, this patient was able to smile with confidence.

I know I am in good hands with my dental care

I was in search of a local dentist office when my boss and co-workers recommended Glen Lake Dental. Dr. Leonardi has been their primary dentist for years and they talked highly about the atmosphere, friendliness, cleanliness, and work performed by Dr. Leonardi and staff. I have to say they were absolutely spot on with their comments and recommendation. Since my first visit to Glen Lake Dental, I have always felt welcomed personally and the atmosphere is very unique as it does not feel like the dreaded “dentist visit”.  

I know I am in good hands with my dental care and the recommendations made by Dr. Leonardi and staff. They are always upfront with me and take great care explaining in detail the procedures and processes any time I go in for dental work or a general cleaning. I feel very comfortable with the care I have received and appreciate being informed every step of the way.

One of the first priorities was getting my teeth straightened. I was surprised when I was offered a solution right there at my primary dentist office and did not have to travel to a specialist. I recently got my brackets removed after about a year and the results are AMAZING! The best part was the level of care I received along the way. Any time I had a question or concern it was addressed immediately and they always made time for me to stop by. They have been exceptional with the level of patient care they provide!

I would highly recommend Glen Lake Dental to anyone in search of a dentist office. From the atmosphere to the staff, attention to detail, and patient care – I have never been to a practice with the level of comfort Glen Lake Dental has to offer. Say goodbye to the dreaded “dentist visit”!

Sean

Ready to book an appointment?
If you have difficulty using our website, please email us or call us at (603) 668-5307
View the ADA Accessibility Statement