Glen Lake Dental

Gingival Recontouring

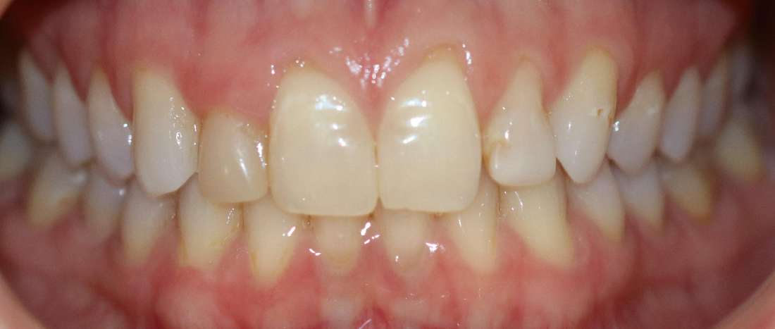
This patient presented to our Goffstown, NH dentist office desiring a more attractive smile.  She was particularly concerned about the older bulky white fillings that were fabricated with her two lateral incisors ( front side teeth).  Dr. Leonardi assessed these areas and knew that she could create an esthetic smile that would leave this lovely lady smiling continuously.   The patient whitened her teeth to improve their overall color.   Once whitening was completed, Dr. Leonardi used a laser to recontour the gum tissue so that both laterals are the same height.  This is a simple procedure completed chairside in a few minutes.  At that point, both teeth were prepared for porcelain veneers which added length and shape to her smile.  These are fabricated in one of the finest labs and custom designed for each patient seeking exceptional esthetics and high function.  

Improve your smile today – call to schedule a consultation!
If you have difficulty using our website, please email us or call us at (603) 668-5307
View the ADA Accessibility Statement