Glen Lake Dental

Dental Crowns

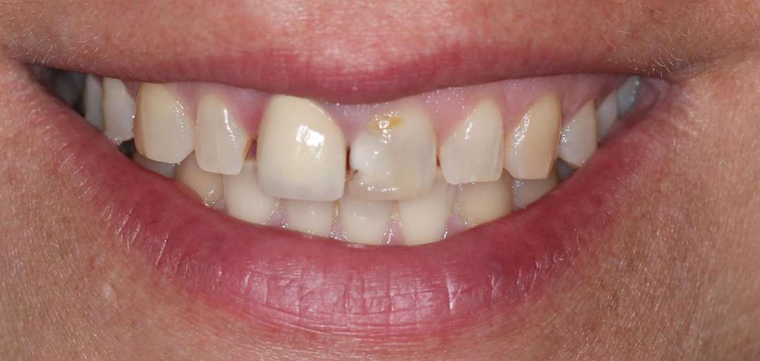
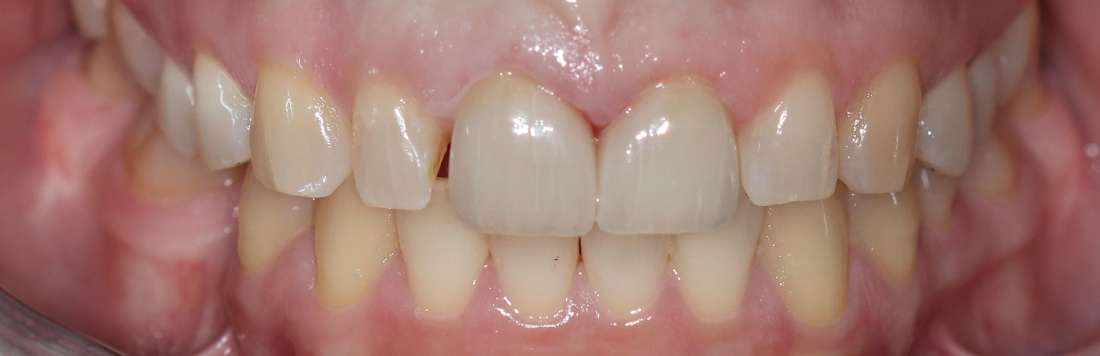
The patient came ot our office with significant decay on their two front teeth. Dental crowns not only fixed the problem but improved the patient's smile!

Related Services:

Dental Crowns & Bridges
Improve your smile today – call to schedule a consultation!
If you have difficulty using our website, please email us or call us at (603) 668-5307
View the ADA Accessibility Statement
Privacy Policy