Skip to main content
Dental Crowns & Bridges
High-Quality Tooth Restorations

Do you have dental damage like broken, decayed, or worn teeth? Do you need to replace missing teeth? Call our Goffstown dental office!

man getting dental cleaning l dental crowns goffstown nh
Solutions for Decayed, Broken, or Missing Teeth
Talk to Our Team Now

Dental Crowns & Bridges in Goffstown, NH

man with blue shirt smiling l dental crowns goffstown nhAt Glen Lake Dental, we love helping our patients achieve healthy smiles, and sometimes that means restoring broken, damaged, or missing teeth. Dr. Danielle Leonardi designs beautiful, natural-looking dental crowns and bridges that give you back your beautiful smile.

It is always a good idea to repair broken teeth or replace missing teeth as soon as possible. Each has a specific job to do, and if one is compromised, it's common to experience other oral health issues as well. Dr. Danielle Leonardi is an experienced dentist in Goffstown who customizes beautiful, natural-looking dental crowns that look so real no one will know you've had any work done.

What Does a Dental Crown Do?

When a filling isn't sufficient to protect a broken, cracked, or decayed tooth, Dr. Leonardi would recommend placing a crown on it. A dental crown is a tooth-shaped porcelain jacket that we customize to fit over the damaged tooth. 

Placing a dental crown over the tooth protects the remaining tooth structure and absorbs chewing forces to prevent further damage to it, like cracks and fractures.

When Do You Recommend a Dental Crown in Goffstown, NH?

Since dental crowns are designed to sit on top of a tooth and protect it, we use them when:

  • Tooth decay is too extensive for a filling.
  • You've had a root canal, and we need to further protect the tooth.
  • We need to restore function to a dental implant.
  • As part of bridgework to replace missing teeth.
  • We need to conceal a discolored or misshapen tooth.

Getting a crown requires two visits to our Goffstown dental office. The first involves reshaping the crown tooth, taking impressions, and selecting a shade of white for your new restoration that matches the surrounding teeth. Before you leave, we create a temporary crown to wear while your final crown is being fabricated.

You will return to our office when the crown is ready, and Dr. Leonardi will remove the temporary, adjust the final restoration for fit, and cement it securely in place.

Your dental crown will not decay but remember that the tooth beneath it still can. Brush twice a day, floss once, and visit us for routine exams and cleanings, and your crown can last ten years or longer.

How Does a Dental Bridge Work?

close up of dental bridge in mouth l dentist goffstown nhWe offer several options to replace missing teeth, and bridges continue to be a reliable choice. If you don't want a partial denture or aren't ready to commit to a dental implant, a bridge can fill the gap in your smile with an artificial tooth called a pontic.

To anchor the pontic in place, we attach a dental crown on either side and place them securely on adjacent teeth. Like all our tooth restorations, your dental bridge will blend in with surrounding teeth, allowing you to eat and chew comfortably and smile confidently.

Getting a dental crown is similar to the process of placing a dental crown. Dr. Leonardi prepares the anchor teeth, takes impressions, and prepares a temporary. It takes two to three weeks for a custom dental lab to fabricate the bridgework, and then we will schedule an appointment to adjust it and cement it in place.

What Types of Crowns and Bridges Are Available?

At Glen Lake Dental, Dr. Leonardi may recommend different types of crowns to suit your smile:

  • Ceramic Porcelain: This is one of the most aesthetic materials we use that we can customize to seamlessly blend with your smile. 
  • Porcelain Fused to Metal: Dr. Leonardi might recommend this type of crown for teeth that take more of the brunt of chewing forces since the metal strengthens the porcelain crown. 
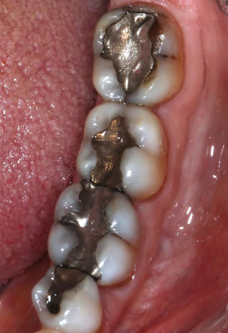
  • Metal Alloys: Gold is one of the most durable materials for crowns and is the best for molars at the back of your mouth that work hard to chew your food. 

Bridges are typically made of ceramic porcelain that is durable and complements your smile. 

Crowns vs. Bridges: Which Procedure Is Right for Me?

Dr. Leonardi can assess your needs during an evaluation. She'll recommend a dental crown for repairing one tooth, while a bridge replaces one or multiple adjacent missing teeth. During your evaluation, Dr. Leonardi will review the treatment process with you, and discuss timeframes for the length of your treatment, as well as determine the cost. 

Schedule an Appointment at Glen Lake Dental

Dr. Danielle Leonardi places beautiful dental crowns and bridges for patients in the communities of Goffstown, Manchester, New Boston, and surrounding areas. If you have a broken, decayed, or missing tooth, call us today to schedule an appointment so we can see how we can best help you. 

Hear From Our Patients

Frequently Asked Questions

There are several reasons why teeth break or fractureman in pain holding jaw l dentist near me goffstown that has nothing to do with dental trauma like a high-impact injury during sports activities. In fact, you may not even notice a minor fracture until you experience sudden pain in your teeth while eating.

General Reasons Why Teeth Break

In general, broken teeth often occur as a result of:

  • A cavity or tooth decay
  • Teeth grinding
  • Jaw clenching
  • TMJ problems
  • Uneven dental wear
  • Large tooth fillings
  • Eating crunchy or chewy foods
  • Biting fingernails or chewing on ice
  • Trip and falls

What Should I Do If I Break Or Crack A Tooth?

If you break or crack a tooth, the first step is always to call your Goffstown dentist and let us know what’s happening. Taking the proper steps until you see us always results in the best outcomes and include:

  • Find the broken piece and bring it to your appointment.
  • Rinse your mouth with warm water.
  • If you are bleeding, apply light pressure with a gauze pad.
  • If you are experiencing discomfort, take a pain reliever like Advil or ibuprofen.

When we see you, the first step is to identify why the tooth broke so we can address the underlying problem. If excessive teeth grinding has caused the break, Dr. Leonardi might recommend a nightguard to protect your teeth from damage while you sleep.

Call Us Today To Book Your Appointment

If you have a broken tooth and need a dentist in Goffstown to help you, please call Glen Lake Dental to schedule an appointment. If it’s an emergency and you are in pain, we will do our best to see you the same day.

Dental crowns are custom-made caps designed to tightly encase severely compromised teeth after a root canal or dental implant placement. Dental crowns protect damaged teeth and restore their natural shape and functionality. Crowns are also very effective in restoring the aesthetic appeal of a patient’s smile.

The longevity of dental crowns can vary. This variance is largely based on the material from which a crown is made. Here’s a quick look at the lifespans of different types of dental crowns, assuming proper care:

  • Porcelain – between 5 and 15 years
  • Porcelain-fused-to-metal – between 10 and 15 years
  • Durable metals like gold or silver – 15-30 years, or more
  • Ceramic or Zirconia – 15-20 years or more.

Though dental crowns are highly effective and durable restorations, they unfortunately do not last forever. The good news, however, is that, with proper care, any need for retreatment or replacement can be pushed well into the future!

Precisely Placing Dental Crowns in Goffstown, NH

If you're looking for a Goffstown dentist with extensive experience and expertise in the precise placement of dental crowns and the routine preventive and corrective care needed to maximize their lifespans,  contact Dr. Danielle Leonardi and the excellent Glen Lake Dental team to schedule a consultation!

One minute, you're confidently eating your favorite meal. The next, panic sets in as you feel your dental bridge shift unnaturally. Suddenly, that gap you thought was history threatens to resurface, along with a flood of insecurities. A broken dental bridge isn't just a dental emergency—it's a crack in your confidence, a pause in your daily life, and a reminder of past dental woes.

So, can a dental bridge be repaired? Keep reading to learn more.

Repairing a Dental Bridge

The good news is that a dental bridge can often be repaired. Depending on the damage, you can restore your smile quickly and return to living your life. Here are some of the most common issues with dental bridges:

  • Chipped or fractured bridge — We can use composite resin to restore your bridge’s shape and stability.
  • Loose bridge — If your supporting teeth are healthy, we can cement your bridge back in place.
  • Damaged bridge — We may need to replace your bridge if it is severely damaged.

Questions about Dental Bridges in Goffstown, NH?

When you find yourself searching the internet for a “dentist near me,” consider the expert dental team at Glen Lake Dental! We can assess your dental needs and create a treatment plan to restore your oral health and give you the smile you deserve.

Please contact our dental office at (603) 668-5307 to get started.

Meet Our Doctor:

Headshot of Dr Danielle Leonardi DMD dentist in Goffstown NH

Danielle Leonardi DMD

Danielle Leonardi, DMD, was born and raised near Cleveland, Ohio. She received her bachelor of arts degree from Miami University in Oxford, Ohio, and went on to Tufts University School of Dental Medicine in Boston, where she received her DMD. After completing her education, Dr. Leonardi acquired Glen Lake Dental in New Hampshire. She is currently a member of the Academy of General Dentistry and an active participant in the Frank Spears Program and Study Club and the American Society of Implant & Reconstructive Dentistry.

With a ...

Featured Blog Posts - Dental Crowns & Bridges

February 18, 2025

The Benefits of Dental Crowns: Restoring Function and Aesthetics

woman during dental exam

A damaged or weakened tooth affects more than just your smile. It can directly affect your ability to eat, speak, and maintain proper oral health.

Dental crowns provide a durable and natural-looking solution to restore both function and aesthetics to damaged teeth. Whether you have a cracked tooth, severe decay, or a large filling, a custom-made crown can protect and strengthen your tooth while enhancing its appearance.

Strengthens and Protects Weakened Teeth

Dental crowns act as a protective shell, reinforcing cracked, broken, or severely worn teeth. Made from strong materials like porcelain ...

August 24, 2021

Dental Crowns vs. Dental Bridges: What Are the Pros and Cons?

woman with glasses smiling l dental crowns goffstown

At Glen Lake Dental, we offer high-quality dental crowns and dental bridges in Goffstown, NH for patients who want to restore their smiles and improve their oral health. We create every restoration with your needs and smile goals in mind, so your new smile looks natural and complements your appearance. 

Many people wonder if crowns or bridges are suitable for them, but this can only be determined by you and your dentist during a consultation. Patients often wonder what the pros and cons are of crowns and bridges, but this ...

We Can Help You Smile with Confidence Again
Get Started Now